中国全科医学 ›› 2026, Vol. 29 ›› Issue (05): 649-655.DOI: 10.12114/j.issn.1007-9572.2024.0637

• 论著·中医·中西医结合研究 • 上一篇    下一篇

二陈汤干预ATG7/FTH1通路改善痰湿型多囊卵巢综合征大鼠卵泡功能的研究

吕小娇1, 柏子寒1, 马妍2, 陈巍3, 曲扬4, 隋国媛1, 尚冰5, 丛培玮6,*()   

  1. 1.110847 辽宁省沈阳市,辽宁中医药大学基础医学院
    2.110847 辽宁省沈阳市,辽宁中医药大学第二临床学院
    3.110847 辽宁省沈阳市,辽宁中医药大学附属第二医院老年病一科
    4.116600 辽宁省大连市,辽宁中医药大学药学院
    5.110847 辽宁省沈阳市,辽宁中医药大学中医文献研究院
    6.110847 辽宁省沈阳市,辽宁中医药大学中医脏象理论及应用国家教育部重点实验室
  • 收稿日期:2024-12-10 修回日期:2025-02-09 出版日期:2026-02-15 发布日期:2026-01-05
  • 通讯作者: 丛培玮

  • 作者贡献:

    吕小娇主要负责文章的撰写及动物实验、文章图片以及数据处理;柏子寒、马妍主要负责实验动物的饲养;陈巍负责中医临床治疗思路;曲扬、隋国媛对论文进行修订;尚冰负责中医理论指导;丛培玮负责研究的整体构思、动物实验和细胞实验的完整设计、文章的审查,并对文章整体负责。

  • 基金资助:
    国家自然科学基金青年科学基金项目(82104735); 辽宁省科技厅重点研发项目(2024JH2/102500043); 辽宁省教育厅青年科技创新团队项目(2024-JYTCB-083); 辽宁省教育厅基础研究面上项目(JYTMS20231815); 中国博士后科学基金第71批面上资助项目(2022MD713764); 中医脏象理论及应用教育部重点实验室开放基金项目(zyzx2202)

Study on Erchen Decoction Intervening in ATG7/FTH1 Pathway to Improve Follicular Function of Rats with Phlegm-damp PCOS

LYU Xiaojiao1, BAI Zihan1, MA Yan2, CHEN Wei3, QU Yang4, SUI Guoyuan1, SHANG Bing5, CONG Peiwei6,*()   

  1. 1. College of Basic Medicine, Liaoning University of Traditional Chinese Medicine, Shenyang 110847, China
    2. The Second Clinical College of Liaoning University of Traditional Chinese Medicine, Shenyang 110847, China
    3. The First Department of Geriatrics, the Second Affiliated Hospital of Liaoning University of Traditional Chinese Medicine, Shenyang 110847, China
    4. College of Pharmacy, Liaoning University of Traditional Chinese Medicine, Dalian 116600, China
    5. Academy of Traditional Chinese Medicine Literature, Liaoning University of Traditional Chinese Medicine, Shenyang 110847, China
    6. Key Laboratory of Ministry of Education for TCM Viscera-state Theory and Applications, Liaoning University of Traditional Chinese Medicine, Shenyang 110847, China
  • Received:2024-12-10 Revised:2025-02-09 Published:2026-02-15 Online:2026-01-05
  • Contact: CONG Peiwei

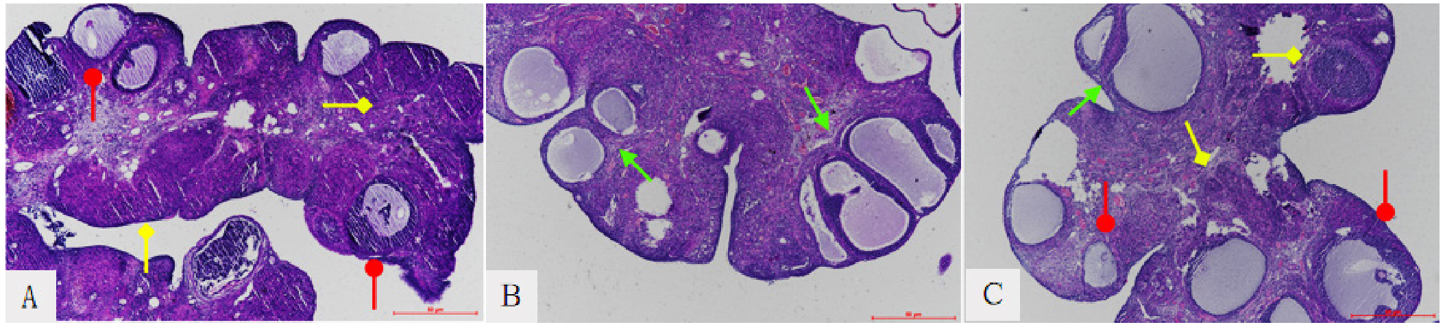
摘要: 背景 多囊卵巢综合征(PCOS)是一类尚无明确病因的妇科内分泌代谢性疾病,患病率日渐年轻化、普遍化,因此研究PCOS分子生物学层面的发病机制,可为临床治疗提供相关依据,守护女性健康。 目的 以中医学"痰湿"体质导致不孕的理论为依据,探讨二陈汤对PCOS卵巢颗粒细胞线粒体自噬依赖性铁死亡的改善作用。 方法 辽宁中医药大学实验动物中心提供SPF级实验室及32只SD雌性大鼠,适应性喂养1周后,随机将32只大鼠分为对照组(n=10)和模型组(n=22)。对照组给予普通维持饲料全程喂养,共12周;模型组全程给予高脂饲料喂养,造模期间每日给予来曲唑溶液灌胃。造模完毕选取动情周期紊乱的模型组大鼠作为治疗组(n=12),每日给予二陈汤煎剂灌胃,连续4周进行治疗。取材后对大鼠卵巢进行HE染色,观察病理变化,采用透射电镜拍摄3组大鼠卵巢颗粒细胞线粒体形态学变化,采用Western Blotting法检测大鼠卵巢颗粒细胞自噬相关基因7(ATG7)、P62、自噬相关蛋白1(Beclin1)、微管相关蛋白1轻链3-Ⅰ(LC3-Ⅰ)、微管相关蛋白1轻链3-Ⅱ(LC3-Ⅱ)、铁蛋白重链1(FTH1)、线粒体呼吸链组装蛋白2(ISCU2)蛋白水平变化。采用Oxygraph-2k线粒体功能测定系统检测卵巢颗粒细胞线粒体耗氧率变化。 结果 模型组大鼠卵巢囊性卵泡增多,黄体减少并且卵巢颗粒细胞线粒体出现自噬与铁死亡现象,治疗组治疗后形态部分恢复。与对照组相比,模型组ATG7、P62、Beclin1、LC3-Ⅱ蛋白水平升高(P<0.05),LC3-Ⅱ/LC3-Ⅰ升高(P<0.05),LC3-Ⅰ、FTH1、ISCU2蛋白水平降低(P<0.05);与模型组相比,治疗组ATG7、P62、Beclin1、LC3-Ⅱ蛋白水平降低(P<0.05),LC3-Ⅱ/LC3-Ⅰ降低(P<0.05),FTH1蛋白水平升高(P<0.05)。三组电子传递系统(ETS)、线粒体复合体Ⅰ(CⅠ)、线粒体复合体Ⅱ(CⅡ)耗氧率比较,差异有统计学意义(P<0.05);其中模型组ETS、CⅠ、CⅡ耗氧率低于对照组,治疗组ETS、CⅠ、CⅡ耗氧率高于模型组,差异均有统计学意义(P<0.05)。 结论 二陈汤通过ATG7/FTH1通路逆转卵巢颗粒细胞自噬依赖性铁死亡,改善痰湿型PCOS大鼠的卵泡功能。

关键词: 多囊卵巢综合征, 二陈汤, 自噬依赖性铁死亡, 痰湿不孕, 线粒体

Abstract:

Background

Polycystic ovary syndrome (PCOS) is a gynecologic endocrine and metabolic disease with no clear cause, the prevalence is getting younger and more prevalent. Therefore, the pathogenesis of PCOS at the molecular biological level was studied to provide relevant evidence for clinical treatment and protect women's health.

Objective

Based on the theory of "phlegm dampness" constitution leading to infertility in Traditional Chinese Medicine, the ameliorating effect of Erchen decoction on autophagy-dependent ferroptosis in PCOS ovarian granulosa cells was discussed.

Methods

The Experimental Animal Center of Liaoning University of Traditional Chinese Medicine provided SPF-grade laboratories and 32 female SD rats. After one week of adaptive feeding, 32 rats were randomly divided into a control group (n=10) and a model group (n=22). The control group was given regular maintenance feed for the entire duration of 12 weeks. The model group was fed with high-fat feed throughout the whole process, and letrozole solution was gavaged every day during the modeling period. After the modeling was completed, rats with estrous cycle disorders from the model group were selected as the treatment group (n=12), and they were treated with the decoction of Erchen decoction by gavage daily for 4 consecutive weeks. After the samples were collected, the rat ovaries were stained by HE staining to observe the pathological changes, transmission electron microscopy (TEM) was used to show the mitochondrial morphology of ovarian granulosa cells in three groups of rats. Western Blotting was used to detect the changes in ATG7, P62, Beclin1, LC3-Ⅰ, LC3-Ⅱ, LC3-Ⅱ/LC3-Ⅰ, FTH1, ISCU2 protein levels in rat ovarian granulosa cells. Oxygraph-2k mitochondrial function assay system was used to detect changes in mitochondrial oxygen consumption rate in ovarian granulosa cells.

Results

Ovarian cystic follicle increased in rats of the model group, the corpus luteum was reduced and the mitochondria of ovarian granulosa cells showed autophagy and ferroptosis. Partial recovery of morphology was observed in treatment group after treatment. Compared with the control group, the protein expressions of ATG7, P62, Beclin1 and LC3-Ⅱ in the model group increased (P<0.05), the ratio of LC3-Ⅱ/LC3-Ⅰ increased (P<0.05), and LC3-Ⅰ, FTH1 and ISCU2 protein levels decreased (P<0.05). Compared with the model group, the protein levels of ATG7, P62, Beclin1, and LC3-Ⅱ in the treatment group decreased (P<0.05), the ratio of LC3-Ⅱ/LC3-Ⅰ decreased (P<0.05), and the protein level of FTH1 increased (P<0.05). There was statistical significance in oxygen consumption rates of ETS, CⅠ and CⅡ among the three groups (P<0.05). The oxygen consumption rates of ETS, CⅠ and CⅡ in the model group were lower than those in the control group, and those in the treatment group were higher than those in the model group, with statistical significance (P<0.05).

Conclusion

Erchen decoction can reverse autophagy-dependent ferroptosis of ovarian granulosa cells through the ATG7/FTH1 pathway, and improve the follicular function of rats with phlegm-damp PCOS.

Key words: Polycystic ovary syndrome, Erchen Decoction, Autophagy-dependent ferroptosis, Phlegm-dampness infertility, Mitochondria

中图分类号: