中国全科医学 ›› 2026, Vol. 29 ›› Issue (14): 1898-1910.DOI: 10.12114/j.issn.1007-9572.2023.0926

• 论著 • 上一篇    

矢志方在高尿酸血症尿酸转运相关蛋白中的作用机制研究

吴志远1,2,3,4, 王传旭1,2,3,4, 杨枫1,2,3,4, 张栩铭1,2,3,4, 周嘉宝1,2,3,4, 高建东1,2,3,4,*()   

  1. 1.201203 上海市,上海中医药大学附属曙光医院肾病科
    2.201203 上海市,上海中医药大学中医肾病研究所
    3.201203 上海市,上海中医药大学肝肾疾病病证教育部重点实验室
    4.201203 上海市中医临床重点实验室
  • 收稿日期:2024-04-10 修回日期:2025-10-13 出版日期:2026-05-15 发布日期:2026-04-14
  • 通讯作者: 高建东

  • 作者贡献:

    吴志远提出主要研究目标,负责研究的构思与设计,研究的实施,撰写论文;王传旭进行数据的收集与整理,统计学处理;杨枫负责图、表的绘制与展示;张栩铭、周嘉宝进行论文的修订;高建东负责文章的质量控制与审查,对文章整体负责,监督管理。

  • 基金资助:
    国家自然科学基金资助项目(81874437,82274415)

Study on the Mechanism of Shizhi Fang in Uric Acid Transport-related Proteins in Hyperuricemia

WU Zhiyuan1,2,3,4, WANG Chuanxu1,2,3,4, YANG Feng1,2,3,4, ZHANG Xuming1,2,3,4, ZHOU Jiabao1,2,3,4, GAO Jiandong1,2,3,4,*()   

  1. 1. Department of Nephrology, Shuguang Hospital Affiliated to Shanghai University of Traditional Chinese Medicine, Shanghai 201203, China
    2. TCM Institute of Kidney Disease, Shanghai University of Traditional Chinese Medicine, Shanghai 201203, China
    3. Key Laboratory of Liver and Kidney Diseases, Ministry of Education, Shanghai University of Traditional Chinese Medicine, Shanghai 201203, China
    4. Shanghai Key Laboratory of Traditional Chinese Clinical Medicine, Shanghai 201203, China
  • Received:2024-04-10 Revised:2025-10-13 Published:2026-05-15 Online:2026-04-14
  • Contact: GAO Jiandong

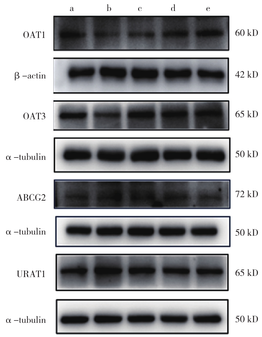
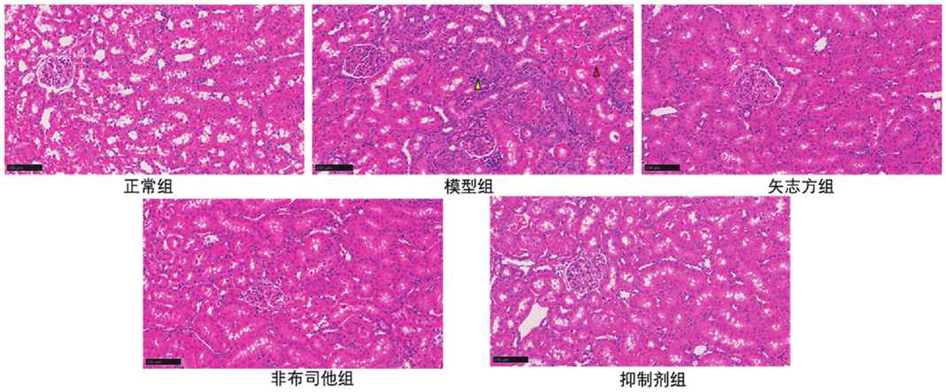
摘要: 背景 传统中医药是治疗高尿酸血症的重要方法,矢志方在治疗高尿酸血症所致的肾脏损伤方面疗效显著,但目前尚缺乏矢志方在尿酸相关转运蛋白中的作用及机制的相关研究。 目的 将计算机技术与分子生物学实验相结合,探究矢志方对高尿酸血症尿酸相关转运蛋白的影响及细胞外信号调节激酶1/2(ERK1/2)信号通路在其中的作用机制。 方法 于2023年5—11月开展体内外实验,将课题组前期运用超高效液相色谱-高分辨质谱联用方法(UPLC-Q-TOF-MS)分析得到的矢志方药物活性成分进行筛选后,和尿酸转运相关蛋白[尿酸转运蛋白1(URAT1)、三磷酸腺苷结合转运蛋白G超家族成员2(ABCG2)、有机阴离子转运体1(OAT1)、有机阴离子转运体3(OAT3)]进行分子对接探讨其与尿酸各转运蛋白的关系。体外培养人肾小管上皮(HK-2)细胞,依次分为正常组、模型组、抑制剂组、矢志方组、抑制剂+模型组,造模给药后,采用Western blotting、免疫荧光技术检测尿酸转运相关蛋白及ERK1/2信号通路的表达情况。将25只SD大鼠随机分为正常组、模型组、矢志方组、非布司他组和抑制剂组,每组5只进行体内实验。除正常组予0.9%氯化钠溶液灌胃外,其余各组采用氧嗪酸钾(1 500 mg/kg)和腺嘌呤(50 mg/kg)联合灌胃制备高尿酸血症大鼠模型,同时矢志方组、非布司他组、抑制剂组分别予矢志方(6.75 g/kg)、非布司他(3.6 mg/kg)和抑制剂U0126(30 mg/kg)连续灌胃4周。采用HE染色观察肾组织病理变化,六胺银染色观察尿酸盐结晶形成情况,Western blotting、免疫组化检测尿酸转运相关蛋白表达情况。 结果 共筛选出10个活性成分,分子对接小提琴图显示,相较于URAT1,OAT1、OAT3能够与矢志方更多活性成分形成稳定对接,ABCG2对接能量较低,但热图表明URAT1与矢志方活性成分对接的结合能相较于其他更高,结合最稳定。体外实验表明,与正常组比较,模型组URAT1蛋白表达升高,OAT1、OAT3蛋白表达降低(P<0.01);正常组与模型组的ABCG2蛋白表达比较,差异无统计学意义(P>0.05);与模型组比较,抑制剂组、矢志方组、抑制剂+模型组URAT1蛋白表达均降低,OAT1、OAT3蛋白表达均升高(P<0.01);模型组与抑制剂组、矢志方组、抑制剂+模型组的ABCG2蛋白表达比较,差异无统计学意义(P>0.05)。六胺银染色可见模型组尿酸盐结晶形成,而抑制剂组、矢志方组、抑制剂+模型组尿酸盐结晶明显减少。病理染色可见模型组出现肾脏损伤,抑制剂组、矢志方组、抑制剂+模型组损伤减轻。体外实验表明,与正常组比较,模型组URAT1蛋白表达升高,OAT1、OAT3、ABCG2蛋白表达降低(P<0.01);与模型组相比,矢志方组、非布司他组和抑制剂组URAT1蛋白表达降低,OAT1、OAT3蛋白表达升高(P<0.01);模型组与矢志方组、非布司他组和抑制剂组ABCG2蛋白表达比较,差异无统计学意义(P>0.05)。 结论 矢志方能够显著降低高尿酸血症URAT1表达,并升高OAT1、OAT3表达来发挥治疗作用,该作用与ERK1/2信号通路密切相关,矢志方活性成分Deoxyadenosine、P-Hydroxybenzaldehyde、Sinapic acid可能在其中发挥主要作用。

关键词: 高尿酸血症, 矢志方, 尿酸转运蛋白, ERK1/2信号通路, 计算机技术

Abstract:

Background

Traditional Chinese medicine (TCM) is an important method for the treatment of hyperuricemia. Shizhi Fang has a significant curative effect in treating renal injury caused by hyperuricemia. However, there is still a lack of relevant research on the effects and mechanisms of Shizhi Fang on uric acid transport-related proteins.

Objective

To combine computer technology with molecular biology experiments to explore the effects of Shizhi Fang on uric acid-related transport proteins in hyperuricemia and the role of the ERK1/2 signaling pathway.

Methods

In vivo and in vitro experiments were conducted from May to November 2023, after screening the active ingredients of Shizhi Fang obtained by ultra-performance liquid chromatography-high-resolution mass spectrometry (UPLC-Q-TOF-MS) in the previous research of the research group, molecular docking was conducted with uric acid transport-related proteins [(Urate Transporter 1 (URAT1), ATP-binding Cassette Transporter G Subfamily Member 2 (ABCG2), and Organic Anion Transporter 1/3 (OAT1/3)] to investigate their relationship with uric acid transport proteins. In vitro cultured human renal tubular epithelial cells (HK-2), divided successively into the normal group, model group, inhibitor group, Shizhi Fang group, and inhibitor + model group. After modeling and drug administration, Western blotting and immunofluorescence technology were used to detect the expression of uric acid transport-related proteins and the ERK1/2 signaling pathway. Twenty-five SD rats were randomly divided into normal group, model group, Shizhi Fang group, febuxate group and inhibitor group, with 5 mice in each group for in vivo experiment. In addition to the normal group, which was given normal saline by gavage, the other groups used oxonate (1 500 mg/kg) and adenine (50 mg/kg) to prepare a hyperuricemia rat model by gavage, and the Shizhi Fang group, febuxostat group, and inhibitor group were given Shizhi Fang (6.75 g/kg), febuxostat (3.6 mg/kg), and inhibitor U0126 (30 mg/kg) by gavage for 4 weeks, respectively. HE staining was used to observe the pathological changes of kidney tissue, and toluidine silver staining was used to observe the formation of urate crystals. Western blotting and immunohistochemistry were used to detect the expression of uric acid transport-related proteins.

Results

Ten active ingredients were screened, and molecular docking violin plots showed that, compared to URAT1, OAT1, OAT3 could form stable docking with more active ingredients of Shizhi Fang, with lower docking energy for ABCG2. However, the heat map indicated that the binding energy of URAT1 with the active ingredients of Shizhi Fang was higher and more stable than the others. In vitro experiments showed that, compared with the normal group, the model group had significantly increased URAT1 protein expression (P<0.01), and decreased OAT1 and OAT3 protein expression (P<0.01). There was no significant difference in ABCG2 protein expression between the normal group and the model group (P>0.05). Compared with the model group, the inhibitor group, Shizhi Fang group, and inhibitor+model group showed reduced URAT1 protein expression (P<0.01) and increased OAT1 and OAT3 protein expression (P<0.01). There was no significant difference in ABCG2 protein expression between the model group and the inhibitor group, Shizhi Fang group, and inhibitor+model group (P>0.05). Toluidine silver staining showed that urate crystals were formed in the model group, whereas urate crystals were significantly reduced in the inhibitor group, Shizhi Fang group, and inhibitor+model group. Histopathological staining revealed kidney damage in the model group, while the damage was alleviated in the inhibitor group, Shizhi Fang group, and inhibitor+model group. In vivo experiments showed that, compared with the normal group, the model group had significantly increased URAT1 protein expression (P<0.01), and decreased OAT1, OAT3, and ABCG2 protein expression (P<0.01). Compared with the model group, the Shizhi Fang group, febuxostat group, and inhibitor group showed decreased URAT1 protein expression (P<0.01) and increased OAT1 and OAT3 protein expression (P<0.01). There was no significant difference in ABCG2 protein expression between the model group and the Shizhi Fang group, febuxostat group, and inhibitor group (P>0.05).

Conclusion

Shizhi Fang can significantly reduce URAT1 expression in hyperuricemia and increase OAT1 and OAT3 expression to exert its therapeutic effect. This effect is closely related to the ERK1/2 signaling pathway, and the active ingredients of Shizhi Fang, including Deoxyadenosine, P-Hydroxybenzaldehyde, and Sinapic acid, may play a major role in this process.

Key words: Hyperuricemia, Shizhi Fang, Uric acid transport proteins, ERK1/2 signaling pathway, Computer technology

中图分类号: