中国全科医学 ›› 2026, Vol. 29 ›› Issue (15): 2056-2066.DOI: 10.12114/j.issn.1007-9572.2024.0265
• 论著 • 上一篇
贺琳钦, 李小冬, 刘宏鹏, 陈启鹏, 唐宗瀚, 任向前, 宋寒冰*(
)
收稿日期:2024-06-10
修回日期:2024-10-10
出版日期:2026-05-20
发布日期:2026-04-14
通讯作者:
宋寒冰
作者贡献:
宋寒冰提出主要研究目标,贺琳钦负责研究的构思与设计,研究的实施,撰写论文;李小冬、刘宏鹏进行数据的收集与整理,统计学处理,图、表的绘制与展示;陈启鹏、唐宗瀚进行论文的修订;任向前和宋寒冰负责文章的质量控制与审查,对文章整体负责,监督管理。
基金资助:
HE Linqin, LI Xiaodong, LIU Hongpeng, CHEN Qipeng, TANG Zonghan, REN Xaingqian, SONG Hanbing*(
)
Received:2024-06-10
Revised:2024-10-10
Published:2026-05-20
Online:2026-04-14
Contact:
SONG Hanbing
摘要: 背景 针刀疗法具有暂缓膝骨关节炎(KOA)进程的作用,但其具体作用机制尚不明确。 目的 探讨针刀疗法对KOA的治疗效果及可能作用机制。 方法 2023年5月—2024年2月将40只SPF级健康新西兰白兔采用SPSS 26.0软件随机分为空白组、模型组、针刀组、针刀联合腺苷A3受体(A3AR)拮抗剂组、针刀联合β-连环蛋白(β-catenin)激活剂组,每组8只。空白组大兔不予任何干预,其余各组大兔采用关节腔灌注木瓜蛋白酶联合膝关节强制屈曲位法构建KOA模型。模型组大兔造模完成后不予任何干预,针刀组大兔予以针刀疗法干预,针刀联合A3AR拮抗剂组大兔予以针刀疗法联合耳缘静脉注射A3AR拮抗剂MRS1220(5 mg/kg)干预,针刀联合β-catenin激活剂组大兔予以针刀疗法联合耳缘静脉注射Wnt/β-catenin信号通路激活剂SKL2001(5 mg/kg)干预,1次/周,持续4周。于干预前、后对各组大兔行行为学观察,于干预结束后对各组大兔膝关节行影像学观察,而后观察各组大兔膝关节软骨大体形态变化,采用苏木素-伊红(HE)染色法对软骨组织行病理学观察,并分别通过Lequesne MG评分、Kellgren-Lawrence(K-L)分级、Pelletier评分及Mankin评分进行量化评估,同时采用酶联免疫吸附试验(ELISA)检测膝关节软骨组织及关节液促炎症细胞因子血清肿瘤坏死因子α(TNF-α)、白介素1β(IL-1β)、白介素18(IL-18)、基质金属蛋白酶-13(MMP-13)含量,采用Real-time PCR法检测膝关节软骨组织A3AR、Wnt3a、β-catenin、Nod样受体蛋白3(NLRP3)、半胱氨酸蛋白酶1(Caspase-1)、消皮素D(GSDMD)mRNA水平,采用Western Blotting法检测膝关节软骨组织A3AR、Wnt3a、β-catenin、NLRP3、Caspase-1、GSDMD蛋白相对表达量。 结果 与空白组比较,模型组膝关节退变明显,Lequesne MG评分、K-L分级、Pelletier评分及Mankin评分升高(P<0.05),膝关节软骨组织及关节液TNF-α、IL-1β、IL-18、MMP-13含量升高(P<0.05),膝关节软骨组织A3AR mRNA水平及蛋白相对表达量降低(P<0.05),膝关节软骨组织Wnt3a、β-catenin、NLRP3、Caspase-1、GSDMD mRNA水平及蛋白相对表达量升高(P<0.05);与模型组比较,针刀组上述指标皆上升或下降,趋于恢复至正常范围(P<0.05);与针刀组比较,针刀联合A3AR拮抗剂组、针刀联合β-catenin激活剂组膝关节退变改善程度明显下降,Lequesne MG评分、K-L分级、Pelletier评分及Mankin评分升高(P<0.05),膝关节软骨组织及关节液TNF-α、IL-1β、IL-18、MMP-13含量升高(P<0.05),膝关节软骨组织A3AR mRNA水平及蛋白相对表达量降低(P<0.05),膝关节软骨组织Wnt3a、β-catenin、NLRP3、Caspase-1、GSDMD mRNA水平及蛋白相对表达量升高(P<0.05)。 结论 针刀疗法可明显改善KOA症状,延缓KOA病程,其机制可能与其活化膝关节软骨组织中的A3AR以抑制Wnt/β-catenin信号通路的转导进而干预软骨细胞焦亡、减轻关节炎症反应并进一步缓解软骨基质降解相关。
| 基因 | 引物序列(5'-3') | 产物(bp) |
|---|---|---|
| A3AR | F:GGTCCACTGGCCCATACACA | 185 |
| R:CGTAGGTGATTTGCAACCACA | ||
| Wnt3a | F:GGACCCTGAAAGACACTGCT | 151 |
| R:TGTCGTGTAAGCTGAGCGCA | ||
| β-catenin | F:AAGGTGCTGTCTGTCTGCTCAC | 146 |
| R:TAGTCGCTGCATCGGACAAGT | ||
| NLRP3 | F:ACGCCACTGACTGCTACAAG | 149 |
| R:CATAGGTATATTGCATCAGAC | ||
| Caspase-1 | F:GGGACGCTTCCATACGTACAG | 158 |
| R:AGTAGGTCAGTCGCAACACTAT | ||
| GSDMD | F:TGCTTTGCAGTATGTGTGGGTCA | 154 |
| R:GACCACATTTGCAGAGTCACATC | ||
| ACTB | F:GCGATCCCACGACTAGTTCA | 142 |
| R:CTATCTCCTCCATGCGGACG |
表1 A3AR、Wnt3a、β-catenin、NLRP3、Caspase-1、GSDMD及内参引物序列
Table 1 Primer sequences of A3AR, Wnt3a, β-catenin, NLRP3,Caspase-1,GSDMD and internal reference
| 基因 | 引物序列(5'-3') | 产物(bp) |
|---|---|---|
| A3AR | F:GGTCCACTGGCCCATACACA | 185 |
| R:CGTAGGTGATTTGCAACCACA | ||
| Wnt3a | F:GGACCCTGAAAGACACTGCT | 151 |
| R:TGTCGTGTAAGCTGAGCGCA | ||
| β-catenin | F:AAGGTGCTGTCTGTCTGCTCAC | 146 |
| R:TAGTCGCTGCATCGGACAAGT | ||
| NLRP3 | F:ACGCCACTGACTGCTACAAG | 149 |
| R:CATAGGTATATTGCATCAGAC | ||
| Caspase-1 | F:GGGACGCTTCCATACGTACAG | 158 |
| R:AGTAGGTCAGTCGCAACACTAT | ||
| GSDMD | F:TGCTTTGCAGTATGTGTGGGTCA | 154 |
| R:GACCACATTTGCAGAGTCACATC | ||
| ACTB | F:GCGATCCCACGACTAGTTCA | 142 |
| R:CTATCTCCTCCATGCGGACG |
| 组别 | 数量(只) | 干预前 | 干预后 |
|---|---|---|---|
| 空白组 | 8 | 0 | 0 |
| 模型组 | 8 | 7.38±0.52a | 5.25±0.46a |
| 针刀组 | 8 | 6.88±0.84a | 1.63±0.74ab |
| 针刀联合A3AR拮抗剂组 | 8 | 6.75±0.89a | 3.50±0.76ac |
| 针刀联合β-catenin激活剂组 | 8 | 6.50±0.76a | 3.25±0.37ac |
| F值 | 164.64 | 65.90 | |
| P值 | <0.001 | <0.001 |
表2 5组大兔干预前后行为学Lequense MG评分比较(±s,分)
Table 2 Lequense MG scores of rabbits in five groups before and after intervention
| 组别 | 数量(只) | 干预前 | 干预后 |
|---|---|---|---|
| 空白组 | 8 | 0 | 0 |
| 模型组 | 8 | 7.38±0.52a | 5.25±0.46a |
| 针刀组 | 8 | 6.88±0.84a | 1.63±0.74ab |
| 针刀联合A3AR拮抗剂组 | 8 | 6.75±0.89a | 3.50±0.76ac |
| 针刀联合β-catenin激活剂组 | 8 | 6.50±0.76a | 3.25±0.37ac |
| F值 | 164.64 | 65.90 | |
| P值 | <0.001 | <0.001 |
图1 5组大兔干预后膝关节X线结果注:箭头指示为大兔右膝关节间隙;A为大兔右膝关节X线正位片,B为大兔右膝关节X线侧位片;A3AR=腺苷A3受体,β-catenin=β-连环蛋白。
Figure 1 X-ray films of knee joint of rabbits in five groups after intervention
| 组别 | 数量 | 0级 | Ⅰ级 | Ⅱ级 | Ⅲ级 | Ⅳ级 |
|---|---|---|---|---|---|---|
| 空白组 | 8 | 8 | 0 | 0 | 0 | 0 |
| 模型组a | 8 | 0 | 0 | 3 | 4 | 1 |
| 针刀组b | 8 | 0 | 4 | 3 | 1 | 0 |
| 针刀联合A3AR拮抗剂组c | 8 | 0 | 1 | 5 | 3 | 0 |
| 针刀联合β-catenin激活剂组c | 8 | 0 | 2 | 4 | 2 | 0 |
表3 5组大兔干预后膝关节Kellgren-Lawrence分级(只)
Table 3 Kellgren-Lawrence grades of knee joint of rabbits in five groups after intervention
| 组别 | 数量 | 0级 | Ⅰ级 | Ⅱ级 | Ⅲ级 | Ⅳ级 |
|---|---|---|---|---|---|---|
| 空白组 | 8 | 8 | 0 | 0 | 0 | 0 |
| 模型组a | 8 | 0 | 0 | 3 | 4 | 1 |
| 针刀组b | 8 | 0 | 4 | 3 | 1 | 0 |
| 针刀联合A3AR拮抗剂组c | 8 | 0 | 1 | 5 | 3 | 0 |
| 针刀联合β-catenin激活剂组c | 8 | 0 | 2 | 4 | 2 | 0 |
| 组别 | 兔数(只) | Pelletier评分 | Mankin评分 |
|---|---|---|---|
| 空白组 | 8 | 0.50(0,1.00) | 0(0,1.00) |
| 模型组 | 8 | 4.00(4.00,4.00)a | 12.50(11.50,13.00)a |
| 针刀组 | 8 | 1.00(1.00,2.00)b | 5.00(4.00,8.00)b |
| 针刀联合A3AR拮抗剂组 | 8 | 2.50(1.00,3.50)c | 8.00(6.50,8.00)c |
| 针刀联合β-catenin激活剂组 | 8 | 2.00(2.00,3.00)c | 7.00(7.00,8.00)c |
| H值 | 26.33 | 35.63 | |
| P值 | <0.001 | <0.001 |
表4 5组大兔干预后Pelletier评分与Mankin评分比较[M(P25,P75),分)]
Table 4 Pelletier and Mankin scores of rabbits among five groups after intervention
| 组别 | 兔数(只) | Pelletier评分 | Mankin评分 |
|---|---|---|---|
| 空白组 | 8 | 0.50(0,1.00) | 0(0,1.00) |
| 模型组 | 8 | 4.00(4.00,4.00)a | 12.50(11.50,13.00)a |
| 针刀组 | 8 | 1.00(1.00,2.00)b | 5.00(4.00,8.00)b |
| 针刀联合A3AR拮抗剂组 | 8 | 2.50(1.00,3.50)c | 8.00(6.50,8.00)c |
| 针刀联合β-catenin激活剂组 | 8 | 2.00(2.00,3.00)c | 7.00(7.00,8.00)c |
| H值 | 26.33 | 35.63 | |
| P值 | <0.001 | <0.001 |
| 组别 | 数量(只) | TNF-α | IL-1β | IL-18 | MMP-13 |
|---|---|---|---|---|---|
| 空白组 | 8 | 136.49±6.94 | 223.92±10.56 | 162.20±7.78 | 138.24±6.90 |
| 模型组 | 8 | 235.47±6.69a | 359.82±13.17a | 289.47±8.67a | 259.14±7.92a |
| 针刀组 | 8 | 157.62±7.16b | 233.85±12.48b | 171.12±7.50b | 155.77±7.07b |
| 针刀联合A3AR拮抗剂组 | 8 | 173.27±7.09c | 305.90±14.69c | 238.58±6.98c | 183.94±8.51c |
| 针刀联合β-catenin激活剂组 | 8 | 167.58±6.74c | 295.91±12.27c | 226.57±7.29c | 178.37±7.44c |
| F值 | 257.72 | 174.19 | 417.99 | 334.36 | |
| P值 | <0.001 | <0.001 | <0.001 | <0.001 |
表5 5组大兔膝关节液促炎症细胞因子TNF-α、IL-1β、IL-18、MMP-13含量比较(±s,pg/mL)
Table 5 Content of pro-inflammatory cytokines TNF-α, IL-1β, IL-18 and MMP-13 in the knee joint fluid of rabbits among five groups
| 组别 | 数量(只) | TNF-α | IL-1β | IL-18 | MMP-13 |
|---|---|---|---|---|---|
| 空白组 | 8 | 136.49±6.94 | 223.92±10.56 | 162.20±7.78 | 138.24±6.90 |
| 模型组 | 8 | 235.47±6.69a | 359.82±13.17a | 289.47±8.67a | 259.14±7.92a |
| 针刀组 | 8 | 157.62±7.16b | 233.85±12.48b | 171.12±7.50b | 155.77±7.07b |
| 针刀联合A3AR拮抗剂组 | 8 | 173.27±7.09c | 305.90±14.69c | 238.58±6.98c | 183.94±8.51c |
| 针刀联合β-catenin激活剂组 | 8 | 167.58±6.74c | 295.91±12.27c | 226.57±7.29c | 178.37±7.44c |
| F值 | 257.72 | 174.19 | 417.99 | 334.36 | |
| P值 | <0.001 | <0.001 | <0.001 | <0.001 |
| 组别 | 数量(只) | A3AR | Wnt3a | β-catenin | NLRP3 | Caspase-1 | GSDMD |
|---|---|---|---|---|---|---|---|
| 空白组 | 3 | 1.00±0.03 | 0.16±0.01 | 0.09±0.02 | 0.28±0.05 | 0.30±0.05 | 0.20±0.04 |
| 模型组 | 3 | 0.16±0.01a | 1.01±0.05a | 1.00±0.03a | 1.00±0.06a | 1.00±0.04a | 0.98±0.07a |
| 针刀组 | 3 | 0.77±0.05b | 0.34±0.03b | 0.22±0.04b | 0.65±0.05b | 0.68±0.07b | 0.29±0.04b |
| 针刀联合A3AR拮抗剂组 | 3 | 0.49±0.02c | 0.45±0.03c | 0.72±0.06c | 0.78±0.08c | 0.76±0.07c | 0.77±0.07c |
| 针刀联合β-catenin激活剂组 | 3 | 0.55±0.02c | 0.94±0.07c | 0.50±0.07c | 0.95±0.07c | 0.95±0.06c | 0.56±0.06c |
| F值 | 1 212.51 | 591.63 | 569.73 | 194.92 | 203.27 | 269.30 | |
| P值 | <0.001 | <0.001 | <0.001 | <0.001 | <0.001 | <0.001 |
表6 5组大兔膝关节软骨组织A3AR、Wnt3a、β-catenin、NLRP3、Caspase-1 mRNA相对表达量比较(2-∆∆Ct,±s)
Table 6 A3AR, Wnt3a, β-catenin, NLRP3, Caspase-1 and GSDMD mRNA expression levels in the knee cartilage tissue of rabbits among five groups
| 组别 | 数量(只) | A3AR | Wnt3a | β-catenin | NLRP3 | Caspase-1 | GSDMD |
|---|---|---|---|---|---|---|---|
| 空白组 | 3 | 1.00±0.03 | 0.16±0.01 | 0.09±0.02 | 0.28±0.05 | 0.30±0.05 | 0.20±0.04 |
| 模型组 | 3 | 0.16±0.01a | 1.01±0.05a | 1.00±0.03a | 1.00±0.06a | 1.00±0.04a | 0.98±0.07a |
| 针刀组 | 3 | 0.77±0.05b | 0.34±0.03b | 0.22±0.04b | 0.65±0.05b | 0.68±0.07b | 0.29±0.04b |
| 针刀联合A3AR拮抗剂组 | 3 | 0.49±0.02c | 0.45±0.03c | 0.72±0.06c | 0.78±0.08c | 0.76±0.07c | 0.77±0.07c |
| 针刀联合β-catenin激活剂组 | 3 | 0.55±0.02c | 0.94±0.07c | 0.50±0.07c | 0.95±0.07c | 0.95±0.06c | 0.56±0.06c |
| F值 | 1 212.51 | 591.63 | 569.73 | 194.92 | 203.27 | 269.30 | |
| P值 | <0.001 | <0.001 | <0.001 | <0.001 | <0.001 | <0.001 |
| 组别 | 数量(只) | A3AR | Wnt3a | β-catenin | NLRP3 | Caspase-1 | GSDMD |
|---|---|---|---|---|---|---|---|
| 空白组 | 3 | 1.11±0.11 | 0.26±0.03 | 0.17±0.06 | 0.32±0.06 | 0.39±0.05 | 0.09±0.03 |
| 模型组 | 3 | 0.23±0.05a | 1.45±0.10a | 1.05±0.09a | 1.27±0.09a | 1.36±0.09a | 0.54±0.06a |
| 针刀组 | 3 | 0.98±0.07b | 0.48±0.07b | 0.27±0.06b | 0.83±0.08b | 0.86±0.08b | 0.15±0.05b |
| 针刀联合A3AR拮抗剂组 | 3 | 0.57±0.09c | 0.63±0.06c | 0.80±0.07c | 0.97±0.10c | 1.00±0.08c | 0.40±0.08c |
| 针刀联合β-catenin激活剂组 | 3 | 0.65±0.25c | 1.34±0.08c | 0.67±0.08c | 1.22±0.08c | 1.27±0.08c | 0.36±0.06c |
| F值 | 188.67 | 496.33 | 237.27 | 192.51 | 211.10 | 103.43 | |
| P值 | <0.001 | <0.001 | <0.001 | <0.001 | <0.001 | <0.001 |
表7 5组大兔膝关节软骨组织A3AR、Wnt3a、β-catenin、NLRP3、Caspase-1、GSDMD蛋白相对表达量比较(GAPDH,±s)
Table 7 A3AR, Wnt3a, β-catenin, NLRP3, Caspase-1 and GSDMD proteins expression levels in the knee cartilage tissue of rabbits among five groups
| 组别 | 数量(只) | A3AR | Wnt3a | β-catenin | NLRP3 | Caspase-1 | GSDMD |
|---|---|---|---|---|---|---|---|
| 空白组 | 3 | 1.11±0.11 | 0.26±0.03 | 0.17±0.06 | 0.32±0.06 | 0.39±0.05 | 0.09±0.03 |
| 模型组 | 3 | 0.23±0.05a | 1.45±0.10a | 1.05±0.09a | 1.27±0.09a | 1.36±0.09a | 0.54±0.06a |
| 针刀组 | 3 | 0.98±0.07b | 0.48±0.07b | 0.27±0.06b | 0.83±0.08b | 0.86±0.08b | 0.15±0.05b |
| 针刀联合A3AR拮抗剂组 | 3 | 0.57±0.09c | 0.63±0.06c | 0.80±0.07c | 0.97±0.10c | 1.00±0.08c | 0.40±0.08c |
| 针刀联合β-catenin激活剂组 | 3 | 0.65±0.25c | 1.34±0.08c | 0.67±0.08c | 1.22±0.08c | 1.27±0.08c | 0.36±0.06c |
| F值 | 188.67 | 496.33 | 237.27 | 192.51 | 211.10 | 103.43 | |
| P值 | <0.001 | <0.001 | <0.001 | <0.001 | <0.001 | <0.001 |
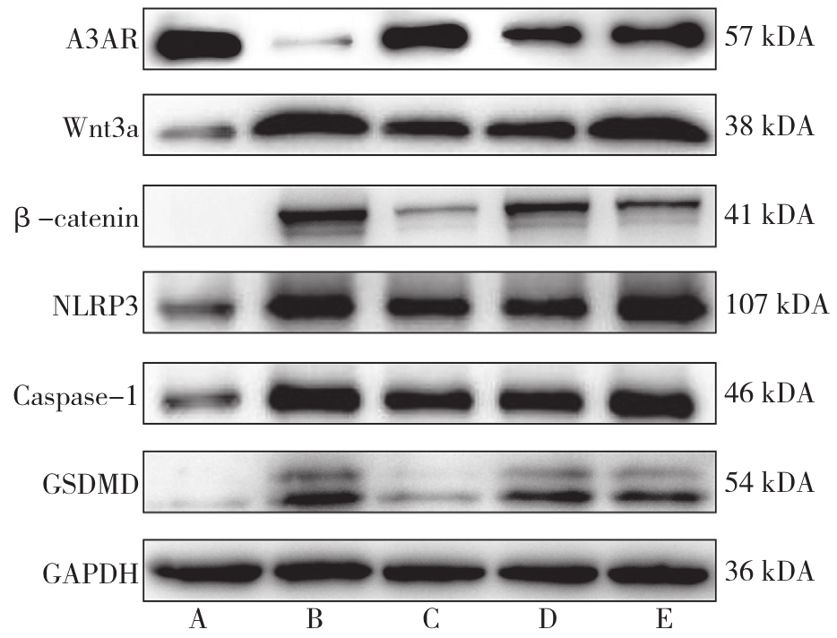
图4 5组大兔干预后膝关节软骨组织A3AR、Wnt3a、β-catenin、NLRP3、Caspase-1、GSDMD蛋白电泳图注:A~E分别为空白组、模型组、针刀组、针刀联合A3AR拮抗剂组、针刀联合β-catenin激活剂组;Wnt3a=Wnt家族成员3a,NLRP3=Nod样受体蛋白3,Caspase-1=半胱氨酸蛋白酶1,GSDMD=消皮素D,GAPDH=甘油醛-3-磷酸脱氢酶。
Figure 4 Electrophoresis of A3AR, Wnt3a, β-catenin, NLRP3,Caspase-1 and GSDMD proteins in the knee cartilage tissue of rabbits in five groups after intervention
| [1] |
|
| [2] |
|
| [3] |
|
| [4] |
|
| [5] |
|
| [6] |
张皓博, 赵宇楠, 杨学军. 细胞焦亡在椎间盘退变中的作用及治疗意义[J]. 中国组织工程研究, 2022, 26(9): 1445-1451.
|
| [7] |
|
| [8] |
|
| [9] |
|
| [10] |
李晓乐, 李无阴, 曹向阳, 等. 针刀疗法治疗膝骨关节炎临床疗效的Meta分析[J]. 中医学报, 2022, 37(11): 2478-2486. DOI: 10.16368/j.issn.1674-8999.2022.11.441.
|
| [11] |
宋寒冰, 王飞, 陈启鹏, 等. 基于A3r受体探讨针刀疗法治疗膝骨关节炎的作用机制[J]. 针灸临床杂志, 2023, 39(1): 38-43. DOI: 10.19917/j.cnki.1005-0779.023008.
|
| [12] |
宋寒冰, 刘家兴, 刘宏鹏, 等. 基于wnt/β-catenin信号通路针刀疗法对膝骨性关节炎的分子作用机制[J]. 针灸临床杂志, 2022, 38(10): 35-40. DOI: 10.19917/j.cnki.1005-0779.022189.
|
| [13] |
张君涛, 吴超超. 膝关节骨性关节炎动物模型研究进展[J]. 重庆医学, 2018, 47(15): 2061-2063, 2067. DOI: 10.3969/j.issn.1671-8348.2018.15.023.
|
| [14] |
|
| [15] |
薛立功. 中国经筋学[M]. 北京: 中医古籍出版社, 2009: 681-728.
|
| [16] |
|
| [17] |
|
| [18] |
余晓愉, 熊辉, 齐新宇, 等.基于以方测证的膝骨关节炎风寒湿痹证模型大鼠构建研究[J].湖南中医药大学学报, 2022, 42(7): 1091-1095.
|
| [19] |
王拥军, 梁倩倩, 崔学军, 等. 调和气血法防治慢性筋骨病的应用与发展[J]. 上海中医药杂志, 2017, 51(6): 1-4, 12. DOI: 10.16305/j.1007-1334.2017.06.001.
|
| [20] |
王振亚, 郭珈宜, 李峰, 等. 郭艳幸教授平衡理论论治膝骨关节炎[J]. 临床医药文献电子杂志, 2019, 6(25): 47.
|
| [21] | |
| [22] | |
| [23] |
朱汉章.针刀医学在慢性软组织损伤疾病病因病理学方面的新理论[J].中国针灸, 1995(S2): 47-51.
|
| [24] |
智佳佳, 杜朝政, 王宇泽. 骨关节炎形成过程中细胞焦亡的作用与机制[J]. 中国组织工程研究, 2021, 25(32): 5204-5209.
|
| [25] |
|
| [26] |
|
| [27] |
张良志, 刘洪, 谢梓毅, 等. 基于NLRP3/Caspase-1通路探讨针刀对兔膝骨关节炎软骨细胞的影响[J]. 福建医药杂志, 2023, 45(5): 87-90,封3. DOI: 10.3969/j.issn.1002-2600.2023.05.029.
|
| [28] |
|
| [29] |
|
| [30] |
|
| [31] | |
| [32] |
|
| [33] |
|
| [34] |
|
| [35] |
|
| [36] |
包杭生, 关宏刚, 梁钰英, 等. 基于Wnt/β-catenin信号通路探讨骨补丸延缓老年膝骨关节炎软骨退变机制[J]. 中国老年学杂志, 2023, 43(18): 4436-4440. DOI: 10.3969/j.issn.1005-9202.2023.18.026.
|
| [37] |
|
| [38] |
|
| [39] |
黄清宇, 杜楚江, 张雨竹, 等. 细胞焦亡研究进展[J]. 中国免疫学杂志, 2020, 36(2): 245-250. DOI: 10.3969/j.issn.1000-484X.2020.02.022.
|
| [40] |
|
| [41] |
|
| [42] |
白荟. 腺苷A3受体经NLRP3/caspasc-1通路对大鼠软骨损伤的调节作用[D]. 哈尔滨: 东北农业大学, 2022.
|
| [43] |
刘振东. 甜橙黄酮通过调节SERPINA3延缓膝骨关节炎的作用及机制研究[D]. 扬州: 扬州大学, 2023.
|
| [1] | 邵文娟, 蔡可书, 贾潇, 张一民. 基于体医融合的社区膝骨关节炎干预模式构建及应用研究[J]. 中国全科医学, 2026, 29(13): 1699-1705. |
| [2] | 何晓铭, 何敏聪, 魏腾飞, 林天烨, 刘文刚, 张庆文, 何伟, 魏秋实. 绝经后膝骨关节炎患者"中医证型-临床特征-分子分型"多维关系研究[J]. 中国全科医学, 2026, 29(12): 1588-1598. |
| [3] | 周峻, 刘晓雨, 王萍, 颜炎, 林嘉铭, 张跨越, 董芃萱, 刘毓之, 胡啸丛, 宓保宏, 王荣田, 陈月峰, 陈卫衡. 社区膝骨关节炎患者非手术治疗现状:多中心横断面研究[J]. 中国全科医学, 2024, 27(24): 2969-2975. |
| [4] | 李佳武, 秦凤, 宋生琴, 翟婷, 辛宏云, 巴应贵. 基于NLRP3/IL-1β/TGF-β1通路探讨低氧环境下红景天苷对糖尿病肾病大鼠足细胞焦亡损伤的拮抗效应[J]. 中国全科医学, 2024, 27(21): 2617-2622. |
| [5] | 秦元, 肖凌勇, 杨欢, 张馨予, 刘艺, 戴晓矞. 针刺治疗膝骨关节炎随机对照试验结局指标现状分析[J]. 中国全科医学, 2024, 27(08): 995-1000. |
| [6] | 包易如, 包寿乾, 张朝晖, 张银川. 以腰膝痛、腹胀便秘为首发症状的一例先天性聋哑症破伤风感染案例报道并文献复习[J]. 中国全科医学, 2023, 26(24): 3074-3078. |
| [7] | 韩思宇, 李多多, 蔡美玲, 于长禾. 中医宫廷理筋术手法与现代关节松动术手法干预膝骨关节炎的比较研究[J]. 中国全科医学, 2023, 26(02): 210-219. |
| [8] | 牟利民, 张文豪, 张思平, 覃祺, 韩明展, 陈万吉, 冉建. 绝经后女性退变性膝骨关节炎疼痛与性激素水平及关节液炎性因子的相关性研究[J]. 中国全科医学, 2022, 25(29): 3652-3657. |
| [9] | 方雯,王秀红,汪俊华,蒋芝月,董亮宏,李璟. 住院待手术老年膝关节骨性关节炎患者衰弱现况及其影响因素分析[J]. 中国全科医学, 2020, 23(30): 3839-3845. |
| [10] | 吴佳航1,张弛2,董思佳1,尹浩3. “舒筋”手法对膝关节骨性关节炎家兔关节液白介素1β和5-羟色胺的影响研究[J]. 中国全科医学, 2018, 21(6): 688-693. |
| [11] | 姚国军1,尹淑梅1,赵庆海1,宋洁富2,毛国将1,张三刚1. 腓骨近端截骨联合关节腔药物注射治疗膝关节骨性关节炎的疗效研究 [J]. 中国全科医学, 2018, 21(6): 677-682. |
| [12] | 赵栋,王文良,张玲,董辉. 氨甲环酸治疗膝骨关节炎患者全膝关节置换术出血量的效果研究[J]. 中国全科医学, 2018, 21(35): 4405-4407. |
| [13] | 李玉彬,谢利民,于潼,张振南,王文岳,乔欣,殷勇,沈凌,吴飚,陈翰宇,付立新. 活血散精简方治疗膝关节骨关节炎的临床疗效研究[J]. 中国全科医学, 2018, 21(19): 2357-2361. |
| [14] | 王晓玲1,2,3*,陈峰4,5*,王勇4,5,钟彩虹4,5,邓杏兰1,刘巧灵1,谢荣福1. 膝骨关节炎患者静态平衡能力的影响因素分析[J]. 中国全科医学, 2017, 20(20): 2464-2468. |
| [15] | 李芳,姚建华,段哲萍,闫永龙,郑桂敏,曹京旌,张风肖. 不同证型膝骨关节炎患者红细胞免疫功能变化及痹祺胶囊的干预效果研究[J]. 中国全科医学, 2016, 19(24): 2939-2942. |
| 阅读次数 | ||||||
|
全文 |
|
|||||
|
摘要 |
|
|||||





