Please wait a minute...

图/表 详细信息

巨大胎盘类血池样病变超声征象与临床诊断分析
玄英华, 王莉, 黄瑞贞, 吴青青
中国全科医学    2022, 25 (36): 4567-4572.   DOI:10.12114/j.issn.1007-9572.2022.0411
摘要   (1477 HTML16 PDF(pc) (3224KB)(637)  

目的

探讨不同巨大胎盘类血池样病变的产前超声特征及产前诊断意义。

方法

回顾性分析2016年2月至2021年12月在首都医科大学附属北京妇产医院进行超声检查时发现巨大胎盘类血池样病变的6例患者的临床资料,分析其一般资料、超声特征、临床诊断及妊娠结局。以最大径线>5 cm作为巨大胎盘类血池样病变的定义。

结果

6例患者均为单胎妊娠,年龄27~33岁,首次发现巨大胎盘类血池样异常回声的孕周为18+2~31+6周。3例(病例1、病例2及病例3)类血池样异常回声与胎盘组织有分界,分别于妊娠33+5周、29+1周及32周行剖宫产,3例新生儿均存在尿道下裂畸形,临床诊断均为胎盘绒毛膜板下出血;1例(病例4)类血池样病变位于胎盘子面,与胎盘组织有分界,突向羊膜腔,动态观察可以消失,妊娠期超声监测胎儿生长符合孕周,妊娠后期血池范围明显减小,临床诊断为巨大胎盘血池;2例(病例5和病例6)类血池样病变为弥漫性病变,累及大部分胎盘,正常胎盘组织减少,胎儿均为早发型生长受限(各经线<1%、腹围为2.3%),脐动脉舒张末期血流均消失,孕妇子宫动脉舒张早期出现切迹(双侧、单侧);病例5于妊娠23周终止妊娠,病例6并发重度子痫前期,于妊娠27+4周终止妊娠,临床诊断均为胎盘灌注不良合并早发型胎儿生长受限。

结论

妊娠期胎盘类血池样异常回声根据其不同形成原因,有各自的超声特征,产前可以进行鉴别,及时诊断有助于提示严重胎盘灌注不良及绒毛膜板下出血病例产前严密监测胎儿情况,减少不良妊娠结局的发生。



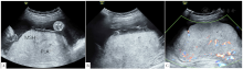
View image in article
图2 病例3孕31<sup>+6</sup>周绒毛膜板下出血

注:A为胎盘前方近子面可见偏高回声,为绒毛膜板下出血,范围长径达11.5 cm,与正常胎盘组织有分界,有分层;B为中央型前置胎盘,绒毛膜板下出血位于胎盘脐带插入点附近;C为胎儿外生殖器呈"郁金香征";D为左侧子宫动脉可见切迹;E为出生后胎盘大体可见胎盘子面胎膜(羊膜+绒毛膜)与胎盘实质有分离,胎盘娩出过程中曾在其间积聚的不凝血已流失;F为出生后外生殖器证实为尿道下裂

本文的其它图/表